Tel: 0043 699 1359440
Tel: 0043 699 1359440 

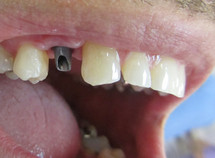
Einzelimplantat Im Oberkiefer

Aufbau auf Implantat, Stellt die Verbindung zwischen Implantat und und Mund her.

Aus dem Labor gelieferte Krone. Hochpolierter Aufbauteil, passgenaue Krone

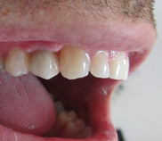
Im Mund fixierte Krone

Dr. Stefan Mac Bretschneider
Grenzgasse 5
1150 Wien
Telefon: +43 699 13596440+43 699 13596440
Fax:
E-Mail-Adresse:

Ordinationszeiten:

 

Mo-Fr. : 9-18

Für weitere Informationen füllen Sie unser Kontaktformuar 

aus

Druckversion | Sitemap
© Meine Homepage