Tel: 0043 699 1359440
Tel: 0043 699 1359440 

ANGST IST KEIN GRUND SICH ZU SCHÄMEN

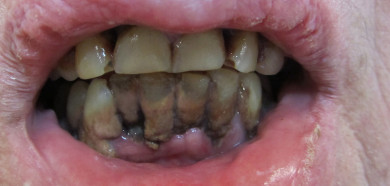
Unglaublich was die Zahnarztangst verursachen kann. Aber es gibt immer eine Lösung !
Die Angst vom Zahnarzt kennt kein Alter. Kann in der Kindheit oder bei Erwachsenen beginnen. Sie haben kein Selbstvertrauen mehr. Aber das kann man wiedergewinnen. In Vollnarkose, während Sie schlafen , wbaut sich ein neuer Start auf.

          Haben Sie Angst beim Zahnarzt ? Sind  Sie ein Phobiepatient ?

Air bieten Ihnen Ihnen die Möglichkeit alle Behandlungen in Vollnarkose zu machen.

Die Vollnarkose wird vom Hr. Dr. Georg Misof , Facharzt für Anästhesiologie und Intensivmedizin durchgeführt. Sie werden während der Behandlung schlafen !

Wie gehen wir vor ?

Beim ersten Gespräche wid ein Einführungsgspräch geführt. Das heisst wir lernen uns kennen.

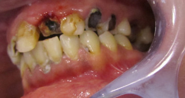
Wenn möglich wird eine Untersuchung nur mit Spiegel oder mit den Fingern gemacht. Also keine scharfe Instrumente. Es wird ein Röntgen gefertigt.

An Hand Ihren Wünschen wird ein Heilplan und eine Kostenaufstellung gemacht. Es wird der Ablauf der Behandlung besprochen.

In Vollnarkose werden alle Behandlungen durchgeführt. Beim Wachwerden hat der Patient ein Provisorium im Mund. Beim nächsten Termin, der meistens ohne Vollnarkose  passiert ,wird der Zahnersatz im Mund befestigt.

Dr. Stefan Mac Bretschneider
Grenzgasse 5
1150 Wien
Telefon: +43 699 13596440+43 699 13596440
Fax:
E-Mail-Adresse:

Ordinationszeiten:

 

Mo-Fr. : 9-18

Für weitere Informationen füllen Sie unser Kontaktformuar 

aus

Druckversion | Sitemap
© Meine Homepage