Tel: 0043 699 1359440
Tel: 0043 699 1359440 

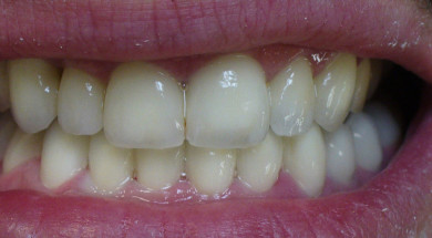
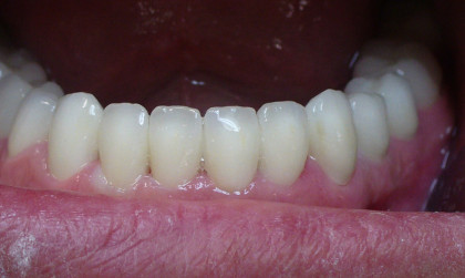
Was ist eine Zahnkrone ?

Wenn von einem Zahn zu viel der Substanz fehlt, kann keine  Füllung mehr gemacht werden, er muss "überkront" werden.

 

Der Zahn wird so beschliffen, dass nur mehr ein Stumpf stehen bleibt. Nach einem Abdruck wird im zahntechnischen Labor eine Krone gefertigt. In manchen Fällen ist es notwendig, mehrere oder sogar alle Zähne zu beschleifen.

Die Kronen können einzeln oder verblockt gefertigt werden. Optisch ist kein Unterschied zu merken. Die Verblockung gibt Zähnen mit Mobilität besseren Halt und dadurch kann auch die Belastung auf mehrere Zähne verteilt werden.

Die Kronen werden auf die Passgenaugkeit auf den Stümpfen geprüft. Ein guter Randschluss zum Zahnschluss muss immer sein. Die Kronen müssenauch eine bestimmte Form haben, um entsprechenden Schutz für den Gaumen zu sichern.

Durch eine komplette Versorgung mit Kronen kann eine passende Ästhetik und eine gute Kaufunktion wieder hergestellt werden.

Am Ende wird der Biss überprüft, sowohl beim Zusammenbeißen als auch in unterschiedlichen geführten Bewegungen. 

Risiko und Komplikationen:

 

Abgeschliffene Zähne können kurz danach empfindlich werden. Auch sind Entzündungen nicht auszuschliessen. In solchen Fällen ist eine Wurzelbehandlung notwendig. 

Entzündungen vom Zahnnerv können auch nach der Befestigung auftreten.

 

Bei Einzelkronen ist es manchmal sehr schwierig, die Farbe an die restlichen Zähnen anzupassen. Es sind oft mehrere Sitzungen notwendig.

 

Um den Biss richtig einzustellen, ist manchmal ein Schliff der Kaufläche notwendig.

 

Mehrere verblockten Kronen können im Kiefer zu Spannungen führen.

 

Kronen können sich vom Stumpf lösen. Der Befestigungszement kann nachgeben. 

Dr. Stefan Mac Bretschneider
Grenzgasse 5
1150 Wien
Telefon: +43 699 13596440+43 699 13596440
Fax:
E-Mail-Adresse:

Ordinationszeiten:

 

Mo-Fr. : 9-18

Für weitere Informationen füllen Sie unser Kontaktformuar 

aus

Druckversion | Sitemap
© Meine Homepage